Recent Posts
Blaady I hate Jeetland's Politics
Muslim Rajput
explain and counter
why did jeetland never see a communist revolution ...
Indian Pride edits
Feminists are the reason why men and boys have no ...
Iran-Israel General
Upper caste vows
anti-reservation rant
White Men
Jai Gadkari!
Survival guide tips
What are trannies crying so much
American Ploy to Drag India into the Iran War
Damn
क्या आप भी RSS वाले हिंदू हैं ?
Is our Foreign Policy a complete failure ?
cuckmiri future
Rajcucks
Humiliation Ritual
BJP B-ros
doval 007
Indian politics seems to drag behind the west 10-1...
Foid spiked my cortisol
MY DREAM INDIA (P2)
MY DREAM INDIA (P1)
Yaar Southie
Iran Thread - Ayatollah Dead
Removal of Cucked father
Islamic History of India - Day #1
Question to (auto-excised)s and muslims
cys1VV
No.8747
How do u feel about the fact I eat beef and support modi, violence and hindtuva at the same time?
Ik this is what the dasyu fear, indra worshippers shall soon come marching to ur homes
Wf5r/m
No.8748
r7MnGY
No.8749
>>8747(OP)
idk man
i personally started eating pork just to piss off all islamic retards
and these nggas cant do shii by eating beef cuz ik a lot of hindus do eat it (i dont but still) so these nggas are just cooked....
6+vfSu
No.8751
>>8747(OP)
>(auto-excised)s and muslims
not in the same sentence, we muslims are here to rule over you and (auto-excised)s
O7Omqm
No.8758
>>8757
Most prolly some xittertard
NTme3s
No.8827
The entire thread is boils down to a retard talking about two different kind of retards that he is also retarded but just in different way, with a moron using the same old we will rule you joke. It's over.

uA73+K
No.8871
>>8747(OP)
total beef eater death
7UOm/O
No.8872
>>8747(OP)
i'm a moslem (now atheist/ex-moslem) from dalli, and i really don't care. i've never even eaten beef, and yesteryear, when i was eligible to vote for the 1st time, i even voted for bjp since their candidate did good work in my constituency
7UOm/O
No.8873
>>8751
n1gga, if you're a moslem and you're not arab, then you are ultra cucked. kekslam is an arabic cult where you need to pray in arabic, wear arabic robes, have an arabic name, etc... it's an arab-supremacist false cult made up by the filthy, lying, pedophile, rapist muhammad

sCXd9u
No.8874
>>8872
Noice
d2lLaS
No.8882
>>8871
as an Ahom Hindu girl, I stopped eating beef long ago - but my brothers and parents continue to
sbtx+R
No.8883
>>8882
Next time don't out yourself as a foid here, and lurk moar yaara, someone out there would be really disappointed in you, otherwise.

6+vfSu
No.8922
>>8915
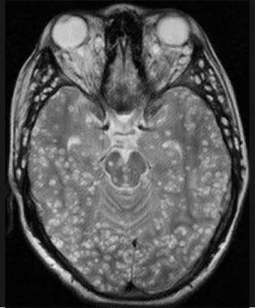
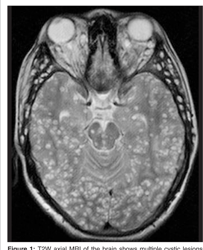
the mri scan that you shared is of a 19 year old vegetarian hindu boy

lFtU8X
No.8923
>>8747(OP)
dill kalits
DsYkGz
No.8924
>>8922
holy kekarino. vegcvck btfod
GcONMt
No.9012
>>8757
Pork is literally the tastiest meat. It doesn't even get close. Beef is sweet and too chewey. Not fun to eat. Unless you are eating a-10 wagyu or tunday kebab. Also buff mogs beef. Lower Fat higher protein.
Beef pirotta is overrated. Chewey bs. Can't even enjoy it. Although bacon is smelly and weird. Pulled pork belly and ribd mogs every kind of meat.
GcONMt
No.9013
>>8757
Even in Vedas the most preferable meat is lamb and goat. I want to really compare what a beef and lamb lasagna taste. But beef is just too heavy and chewey and it's not even that tasty. I really wanted to accept beef propoganda. But it's like accepting LGBTQ people. It's just meh. Nothing impressive unless it's a-10 wagyu from Japan
Lamb just mogs every meat when it comes to make serious dish
tLLY5C
No.9021
>>8872
Meh
Evth else is based tbh except the fact that you voted for moodyZ
But idk and Idc about politics anymore so meh
What are your plans for the future though
Nd do your parents know about the fact that you left your religion ??
l+el5K
No.9248
>>8751
LOVE THE RAGEBAIT
GTv5XD
No.9274
>>8751
Tier repair hogaya?
oe4+rR
No.9397
>>8747(OP)
What kind of Pajeet behaviour is this























































